13612 West Hillsborough Ave, Tampa, FL 33635

8925 Mitchell Blvd, New Port Richey, FL 34655

813-510-3156

Nova Dental Tampa

727-835-6001

Nova Dental Trinity

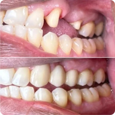
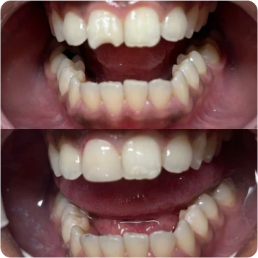
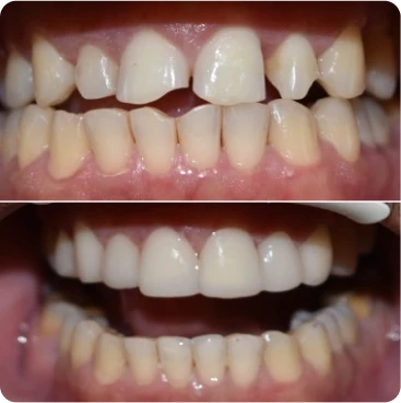
Our Smile Gallery

Take a look at the many smiles that Dr. Nicholas Mickelson has helped with our comprehensive dental services in Tampa & Trinity, Florida.

We invite you to come to Nova Dental for a consultation with our dentist to discuss certain treatments that you are interested in.

Call us in Tampa at 813-510-3156, or call our Trinity office at 727-835-6001 to schedule your visit today!

Explore Our Smile Gallery

Have Questions or Request
an Appointment